Case Sharing | Mittlere bis distale dritte diaphyseale Humerus fraktur
-
2025-05-12
-
LEPU
Verfahren: Minimal invasive perkutane Platten-Osteo synthese (MIPPO) über den vorderen Ansatz mit Ortho-Bridge-System
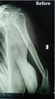
Fall übersicht: Bei einer 48-jährigen Patientin wurde eine Fraktur des mittleren bis distalen Drittels des linken Humerus schachts diagnosti ziert (AO-Klassifikation: Typ B1).
Das Operations team entschied sich für die Minimal Invasive Plate Osteo synthese (MIPO) über den vorderen Ansatz unter Verwendung eines Ortho-Bridge-Systems (OBS). Die Operation wurde innerhalb von 90 Minuten mit einem geschätzten Blutverlust von ca. 150 ml und einer Schnitt länge von ca. 8 cm erfolgreich abgeschlossen.
Postoperativ war keine externe Fixierung erforderlich, und der Patient begann am folgenden Tag mit Mobilisierung übungen für das Ellbogen gelenk, um Steifheit und Gelenk adhäsionen zu verhindern.
Vorteile von OBS:
1. Flexible Konfiguration-leicht angepasst, um verschiedene klinische Bedürfnisse zu erfüllen.
2. Minimal invasiv-Reduziert chirurgisches Trauma für eine schnellere Genesung.
3. Safe & Reliable – Ensures secure fixation with high mechanical stability.
4. Multi-Application-Konzipiert für den Einsatz über verschiedene Körperteile hinweg.
Contact us>>Marketing@lepu-medical.com
Visit lepumedical website for more >>En.lepumedical.com




