Case Sharing | PFO-Verschluss mit MemoSorb Biologisch abbaubarer Okk luder
-
2025-04-28
-
LEPU
30-Year Migraine Relief & 1-Year Follow-Up: Long-Tunnel PFO Closure with MemoSorb Biodegradable Occluder
Today, we share a remarkable case highlighting 1-year post-op outcomes of MemoSorb in treating a complex long-tunnel PFO (12mm length, 1.4mm width), with a focus on serial echocardiographic evidence of device degradation and clinical symptom resolution.
Fall-Highlights
Patienten profil: 53F, 30-jährige Geschichte der Migräne (oft einseitig, Stunden bis Tage lang), 2 synkopale Episoden.
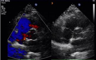
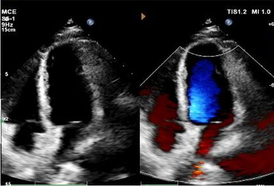
Diagnose: Positive Blasens tudie.
Implantat: 2424 MemoSorb®Biologisch abbaubarer PFO-Okk luder unter Echo-und DSA-Führung eingesetzt.
Wichtige Ergebnisse der Follow-up-Bildgebung
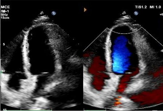
Tag 1 bis 9 Monate:
Kein Rest-Shunt beobachtet.
Allmähliche Verringerung der Geräte echogenität.
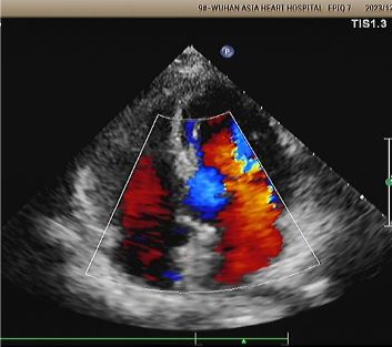
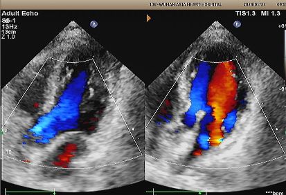
1-jähriges Echo:
No visible disc structures – replaced by 8mm tissue thickening at the septal implant site.
Zero residual shunt (rest or post-Valsalva).
Komplette Absorption des Geräts bestätigt.
Klinische Ergebnisse:
1. Migraine frequency/severity significantly reduced post-implant.
2. No recurrence of syncope or neurological symptoms.
3. Patient-reported improved quality of life.
Contact us>>Marketing@lepu-medical.com
Visit lepumedical website for more >>En.lepumedical.com




