Gute Nachrichten! Lepu Vess crack IVL Ballon ermöglicht eine erfolgreiche Behandlung der Koronar verkalkung in Chile
-
2025-09-02
-
LEPU
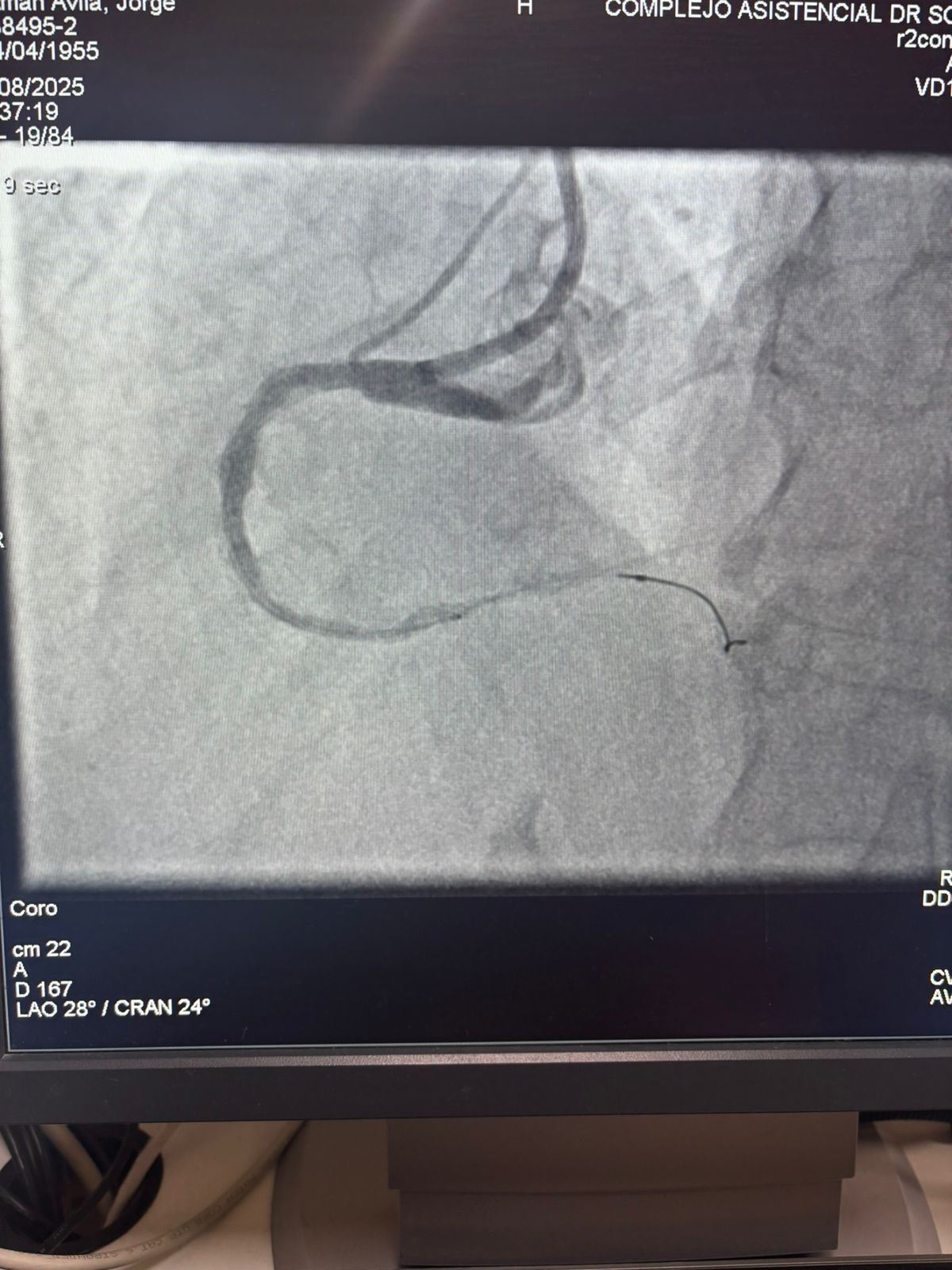
Wir sind stolz darauf, einen bemerkens werten Fall aus dem Krankenhaus Sótero del Río, Chile, zu teilen, in dem Dr. Martín Valde benito eine stark verkalckte Läsion in der rechten Koronar arterie (erste Kurve) mit unserem Vess crack Koronar-IVL-Ballon dilatation katheters ystem erfolgreich behandelte.
Das Verfahren erzielte hervorragende Ergebnisse, wobei die verkalckte Region effektiv geknackt und der Gefäß fluss wieder hergestellt wurde. Dies ist ein weiterer Meilenstein bei der Erweiterung des globalen Zugangs zu fortschritt lichen Lösungen für die komplexe Koronar verkalkung.
Der Vergleich zwischen den angio grafischen Bildern vor und nach dem Eingriff zeigt deutlich die signifikanten klinischen Auswirkungen unserer IVL-Technologie.
Bei Lepu Medical setzen wir uns weiterhin dafür ein, Ärzten weltweit innovative Lösungen zu bieten, die heraus fordernde Fälle in erfolgreiche Ergebnisse verwandeln.
Contact us>>Marketing@lepu-medical.com
Visit lepumedical website for more >>En.lepumedical.com




***This product is presented for academic exchange purpose only and is not intended for sale within European Union.***
