Case Sharing | Erste Verwendung des NUVA Flow Diverters von TJWY Med in Kolumbien in Übersee
-
2025-01-15
-
LEPU
Case Sharing | First Overseas Use of TJWY Med's NUVA Flow Diverter in Colombia
Wir freuen uns, die erfolgreiche Implementierung der NUVA-Flow-Ablenkung von TJWY Medical im ersten Übersee-Fall in Kolumbien bekannt zu geben! Diese bahnbrechende Intervention wurde vom renommierten Neuro radiologen Dr. Nelson Lobelo durchgeführt.
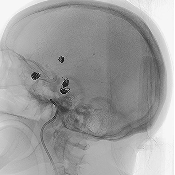
Fall übersicht:
• The patient presented with multiple unruptured giant wide-neck aneurysms. A pre-treatment panangiography revealed a right posterior communicating artery aneurysm measuring approximately 8x8mm and an additional 8x6mm saccular aneurysm in the left azygos pericallosal artery—an exceedingly rare anatomical variation.
• The left middle cerebral artery aneurysm (9x5mm) had previously been treated with a coil but required further intervention.
Chirurgische Highlights:
• Under general anesthesia, a puncture was performed on the right femoral artery, and a CEREBASE 8F introducer catheter was inserted.
• The left internal carotid artery (ICA) was accessed and a pathway was built using TJWY’s FREPASS microcatheter.
• A 5x20mm NUVA flow diverter, designed by TJWY, was deployed to treat the aneurysm in the posterior communicating artery with precision, achieving immediate blood flow stagnation.
• The neck of another aneurysm in the pericallosal artery was protected with a 10mm PCONUS intrasaccular device, and successfully embolized with 3 coils.
Ergebnis:
• The NUVA flow diverter demonstrated excellent wall apposition without complications.
• Post-surgery, branch vessels were fully preserved, and the patient’s recovery was smooth with no adverse events.
Ein großes Dankeschön an das gesamte medizinische Team für ihr Fachwissen und Engagement!
Contact us>>Marketing@lepu-medical.com
Visit lepumedical website for more >>En.lepumedical.com



