Case Sharing | Biologisch abbaubare ASD-Schließung unter nur TTE-Anleitung bei anomalen Koronar patienten
-
2025-08-11
-
LEPU
At Fuwai Hospital Shenzhen, Dr. Lu Yaoxing's team recently performed a successful transcatheter closure of a secundum atrial septal defect (ASD) using a MemoSorb biodegradable occluder in a 34-year-old male patient with a rare coronary anomaly.
Wichtige Infos zum Fall:
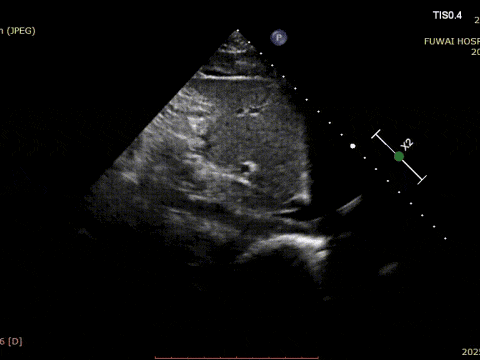
1. Die ASD war zentral in der Lage mit einem gemessenen Durchmesser von ungefähr 8,1mm (Bicaval-Ansicht) und 8,2mm (Aorten-Kurz achsen ansicht).
2. Koronar-CTA ergab einen anomalen Ursprung der linken Zirkumflex arterie (LCX) vom rechten Koronar sinus mit einem Verlauf zwischen der Aorta und dem linken Atrium.
3. Der Abstand zwischen der ASD und der aberra tanten LCX betrug nur etwa 6mm.
4. Es gab keinen Aorten rand und die unteren und hinteren Ränder waren relativ weich.
Angesichts der Nähe des Defekts zur Koronar arterie stellte ein herkömmlicher Metall okluder ein Kompression risiko dar, insbesondere bei körperlicher Anstrengung. Ein biologisch abbaubarer ASD-Okk luder (BDASD-I. 18mm) wurde daher aufgrund seiner Flexibilität, seines geringeren Risikos einer langfristigen mechanischen Verletzung und seiner Fähigkeit, sich nach Abschluss der Verschluss funktion in Kohlendioxid und Wasser abzubauen, ausgewählt.
Das Verfahren wurde von TTE nach dem im Fuwai Hospital entwickelten PAN-Verfahren geleitet. Diese strahlungs freie Echtzeit-Bildgebung stech nik bietet eine hoch auflösende anatomische Visual isierung, die eine genaue Platzierung der Geräte gewähr leistet und Komplikationen minimiert-besonders wertvoll bei jungen Patienten im reproduktiven Alter.
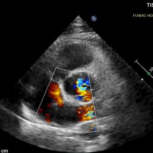
1-day postoperative TTE revealed that the occluder is in good shape without residual shunt (see last figure).
Contact us>>Marketing@lepu-medical.com
Visit lepumedical website for more >>En.lepumedical.com



