Zuhause>Nachrichten
2-Jahres-Folge-Up | MemoSorb Biologisch abbaubarer ASD Occluder
-
2025-08-11
-
LEPU
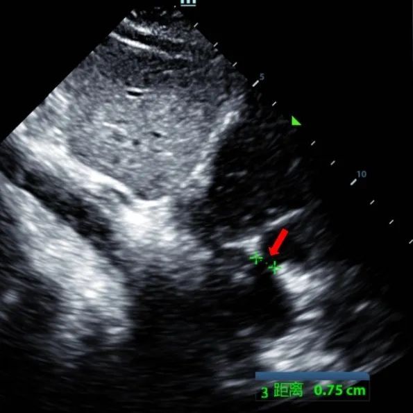
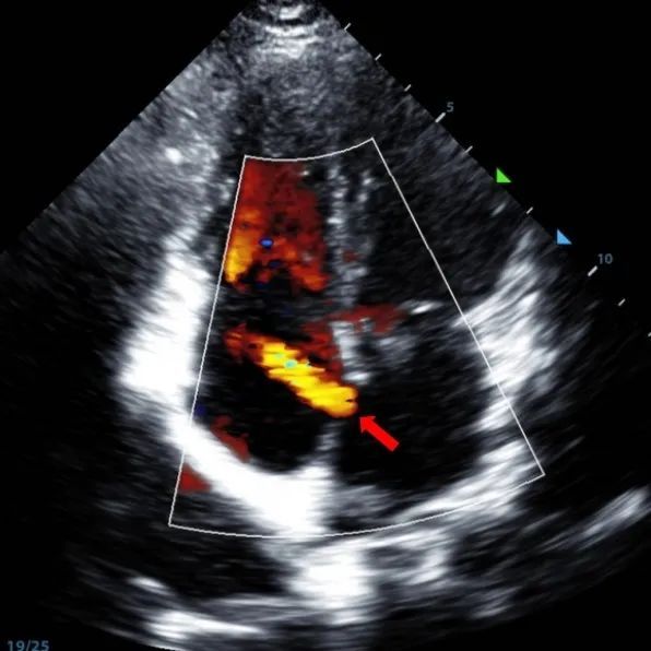
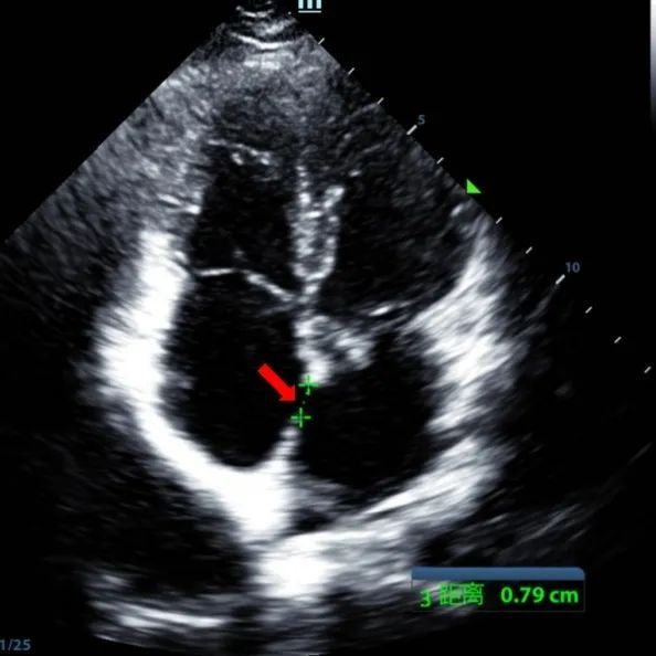
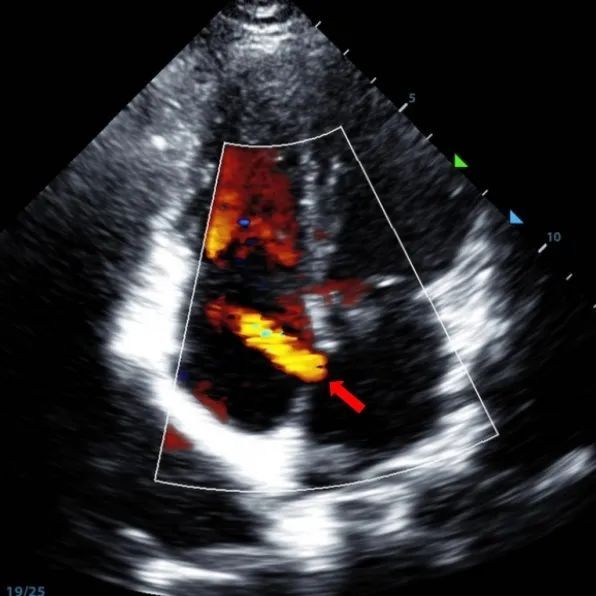
Ein 9-jähriger Mann mit secundum ASD (7,5-7,9mm) wurde mit einem MemoSorb-BDASD-I 12-mm-Okk luder und einem 12F-Fördersystem behandelt. Vor dem Eingriff wurden keine Komplikationen oder Komorbiditäten festgestellt.
Serial echocardiographic follow-ups showed stable device position and favorable cardiac remodeling. Gradual degradation confirmed the occluder's long-term safety and efficacy.
Contact us>>Marketing@lepu-medical.com
Visit lepumedical website for more >>En.lepumedical.com




