Case Sharing | Schwere arterielle Verkalkung der unteren Extremigen, behandelt mit ThorCrack Peripheral IVL
-
2025-09-11
-
LEPU
Profil behälter
· Geschlecht: weiblich
· Alter: 53 Jahre
·Chief Complaint: Bilateral foot necrosis with black discoloration for >6 months
· Frühere Krankengeschichte: Langzeit hämo dialyse bei Nieren erkrankungen im End stadium, Blut hochdruck und Diabetes mellitus mit schlechter Langzeit kontrolle
Klinische Ergebnisse
· Körperliche Untersuchung: Schwache Femur impulse; fehlende Popliteal-und Dorsalis-Pedis-Impulse; Geschwür am linken ersten Zeh; Nekrose am rechten ersten und zweiten Zehen
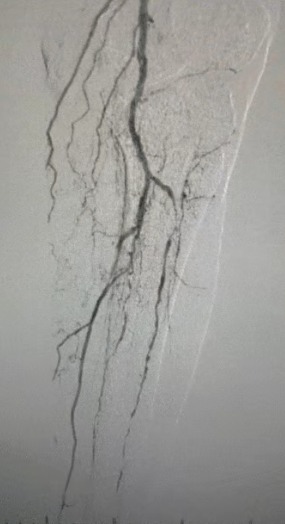
· Präoperative Bildgebung: Schwere, diffuse verkalkte Stenose in bilateralen Arterien der unteren Extremitäten
Behandlungs ansatz
Angesichts des komplexen Gefäß zustands haben wir das ThorCrack Periphere IVL-Ballon dilatation katheters ystem ausgewählt. Aufgrund der begrenzten Toleranz des Patienten wurden inszenierte intervention elle Eingriffe an beiden unteren Gliedmaßen durchgeführt.
Chirurgisches Ergebnis
Nach dem Eingriff verbesserte sich die arterielle Stenose signifikant, der Blutfluss stieg und die Haut temperatur stieg. Es traten keine postoperativen Komplikationen auf. Sowohl der Patient als auch das Operations team waren mit den Ergebnissen sehr zufrieden.
Dieser Fall zeigt einen großen Durchbruch bei der minimal invasiven Behandlung schwerer Arter io sklerose der unteren Extremitäten und bietet effektivere Lösungen für heraus fordernde Fälle.





