Klinischer Scheinwerfer | Nuva Flow Diver ter bei der Behandlung eines posterioren kommunizieren den Arterien aneurysma
-
2025-12-18
-
Lepu
Wir freuen uns, ein kürzlich erfolgreiches Verfahren bei Clínica Alma Mater, Medel lín, zu teilen, das von Dr. Jorge Mutis durchgeführt wurde.
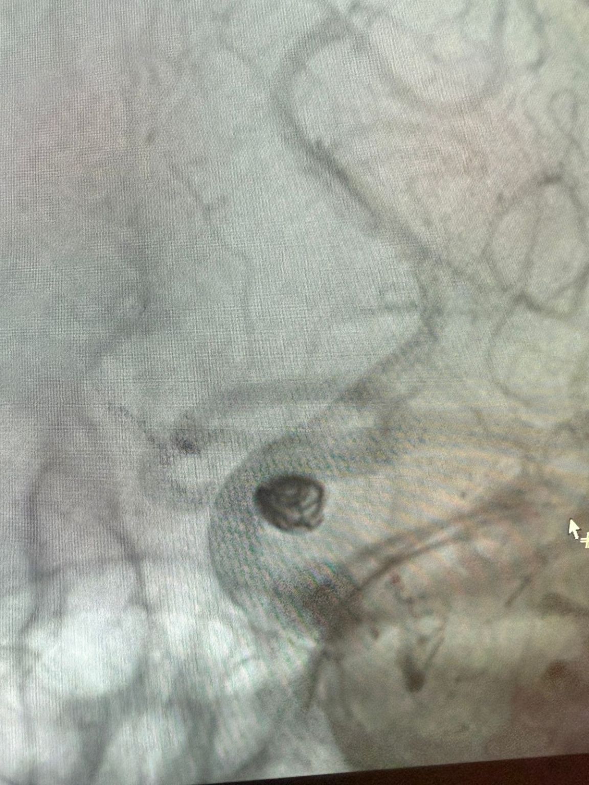
Die Behandlung nutzte die Nuva®Durchfluss-Diver ter (TJED-D 5.0-14), Perdenser®3D-Spule und Frepass®Mikro katheter (TJMC18 Plus) für ein posterior kommunizieren des Arterien aneurysma.
Klinische Einsicht:
Dr. Mutis hob die hervorragende Sichtbarkeit des Geräts hervor und stellte fest, dass das Abrufen reibungslos verlief. Er zeigte sich sehr zufrieden mit dem Endergebnis.
TJWY Medical widmet sich der Bereitstellung hochwertiger, zuverlässiger neuro vaskulärer Lösungen, um Ärzte bei der bestmöglichen Versorgung ihrer Patienten zu unterstützen. Wir schätzen das Vertrauen und die Zusammenarbeit von Dr. Mutis und dem Team bei der Auswahl unserer Produkte für diesen Fall.




