Klinischer Scheinwerfer | Nuva®Durchfluss diverter für das rezidiv ie rende Aneurysma management
-
2025-08-04
-
LEPU
Patient: Männlich, 58 Jahre alt
Diagnose: Aneurysma der rechts posterioren kommunizieren den Arterien, zuvor mit Spulen embolisation behandelt
Verfahren:
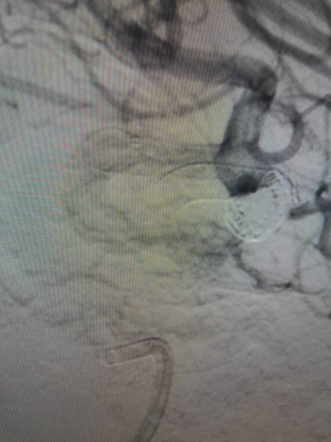
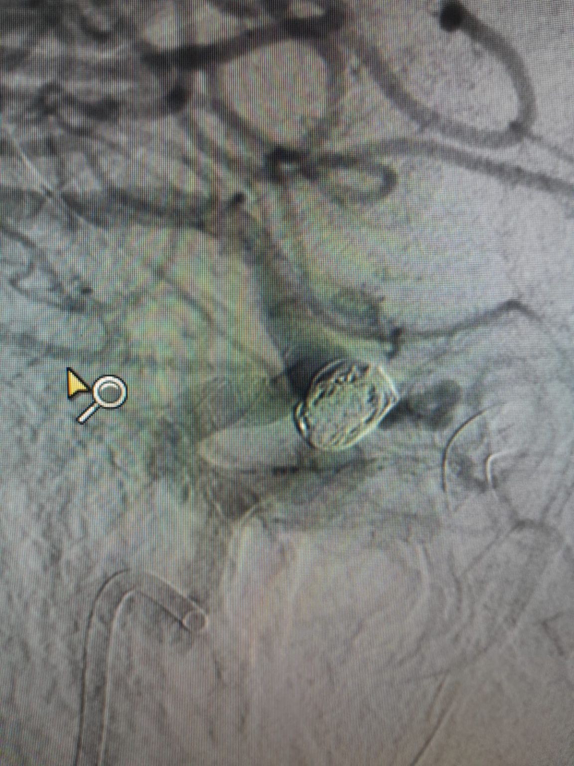
Das Verfahren wurde in der Centen ario Clinic von Dr. Rivera mit Unterstützung ihres klinischen Teams erfolgreich durchgeführt. Der vaskuläre Zugang wurde über eine Punktion der Oberschenkel arterie hergestellt. Ein Mikro draht wurde sorgfältig zum Zielort navigiert, gefolgt vom reibungslosen Fortschritt des Frepasses®Einweg-Mikro katheter (TJMC18 Plus). Nach präziser Aneurysma messung wird ein Nuva®Flow Diver ter (TJED-D. 5-14) wurde ausgewählt und erfolgreich über den Aneurysma Hals eingesetzt.
Das Verfahren wurde ohne Komplikationen abgeschlossen, und die Nuva®Das Gerät zeigte einen aus gezeichneten Wand zuführung-und Strömungs umleitung effekt. Das klinische Team erkannte die Handhabung und Leistung des Geräts sehr an.
Warum Nuva®?
1. Nuva®Flow Diver ter bietet eine reibungslose Navigation, auch in Schiffen, die zuvor mit Spulen behandelt wurden.
2. das Gerät sorgt für zuverlässigen Einsatz und aus gezeichnete Wand aposition.
3. Nuva®Fördert eine effektive Fluss umleitung und unterstützt die langfristige Rekonstruktion der Eltern arterien.
4. Es vereinfacht Nachbehandlung verfahren und reduziert die Verfahrens komplexität.
5. Nuva®Bietet eine konsistente Funk festigkeit in voller Länge, um eine reibungslose Ausführung des Verfahrens zu gewährleisten.
Dieser Fall zeigt weiter, dass Nuva®Bietet Ärzten eine vertrauens würdige und effiziente Lösung für die präzise und vertrauens volle Verwaltung wiederkehren der Aneurysmen.
Contact us>>Marketing@lepu-medical.com
Visit lepumedical website for more >>En.lepumedical.com





