Zuhause>Nachrichten
Case Sharing | CLI Chronische Okklusion mit ThorCrack IVL behandelt
-
2025-06-06
-
LEPU
Klinischer Fall im Rampenlicht: Chronische CLI-Okklusion mit ThorCrack-IVL behandelt
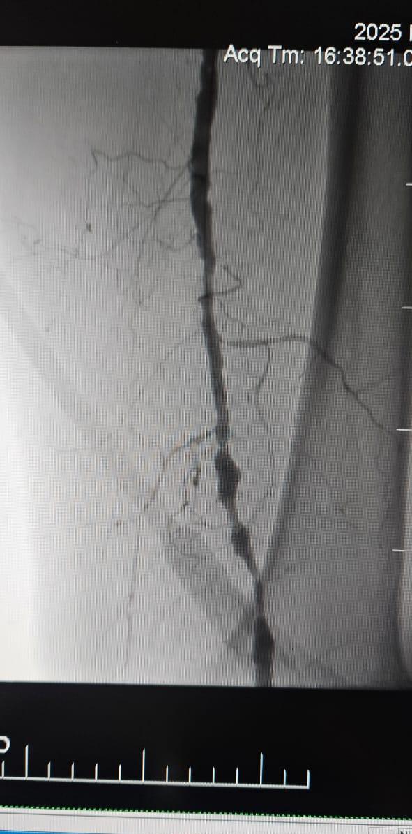
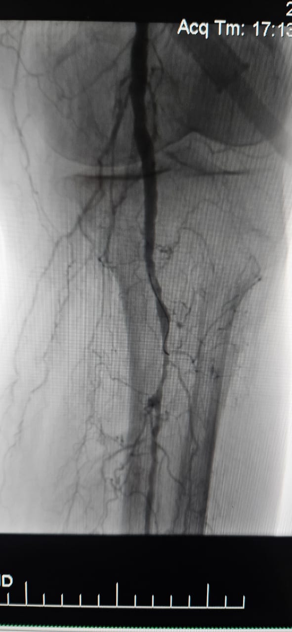
Wir freuen uns, einen erfolgreichen Fall aus einem Krankenhaus in Batumi, Georgia, zu teilen, in dem eine 78-jährige Patientin mit kritischer Extremitäten ischämie (CLI), die durch einen chronischen vollständigen Verschluss der Arterie der unteren Extremitäten verursacht wurde, nach der Behandlung mit dem ThorCrack Peripheral IVL Balloon Dilatation Catheter System.
Über ThorCrack Periphere IVL-Ballon dilatation katheter
Der ThorCrack Periphere IVL-Ballon-Dilatation katheter wurde speziell für die Vorbereitung von Läsionen und die Ballon dilatation verkalkter Stenosen (≥ 50%) in Arteria Iliac, Arteria Femoral, Arteria Ilitealis, Arteria poplitea, Arteria pra pra palis (unterhalb des Knies) entwickelt.
Schlüssels pezifi kationen:
Maximale IVL-Impulse: 300
IVL-Impulse für Zyklus: 30 (10 Zyklen)
Ballon durchmesser (mm): 3,0/3,5/4,0/4,5/5,0/5,5/6,0/6,5/7,0
Ballon längen (mm): 40 / 60
Compatible guidewire: 0.014"
Dieser Fall unter streicht den klinischen Wert der intra vaskulären Litho tripsie (IVL) bei der Behandlung komplexer CLI-Fälle mit chronischer Okklusion mit langem Segment-insbesondere bei Patienten mit starker Verkalkung, bei denen herkömmliche Ballons oder Atherektomie geräte möglicher weise eine begrenzte Wirksamkeit aufweisen.
Wir sind stolz darauf, dass ThorCrack IVL Ärzte auf der ganzen Welt befähigt, verkaldete Läsionen zu überwinden, die Perfusion wieder herzustellen und die Patienten ergebnisse bei komplexen peripheren arteriellen Erkrankungen zu verbessern.
Contact us>>Marketing@lepu-medical.com
Visit lepumedical website for more >>En.lepumedical.com



